Please ensure Javascript is enabled for purposes of website accessibility
Search Phone Icon 503-648-0859 SCHEDULE YOUR CONSULT
01 Laidlaw Orthodontics Staff Laidlaw Orthodontics Staff
Welcome to Laidlaw Orthodontics

Stress-Free Braces & Invisalign

You’re invited to enjoy state-of-the-art treatment, personalized just for your family.

Learn More arrow Watch Video
down arrow
down arrow
02

Personal Care

Your smile is personal, and at Laidlaw Orthodontics, you’ll love our personal and comfortable experience.

Your Hillsboro Orthodontist

Meet Andrea Laidlaw, D.M.D.

Board-certified orthodontist Dr. Laidlaw and her team believe that you’re worthy of a beautiful smile. She’s been providing personal and exceptional orthodontic care in Hillsboro for more than 20 years.

Learn More arrow
03
Dr. Laidlaw logo lines

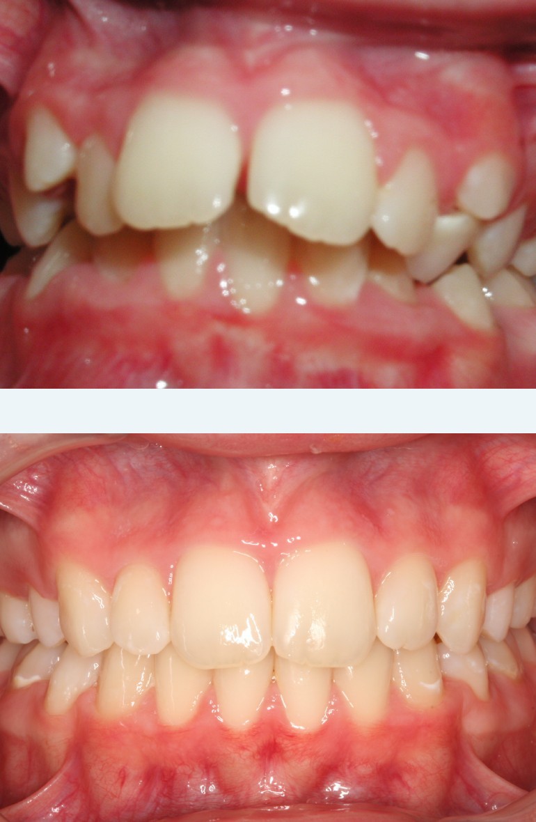
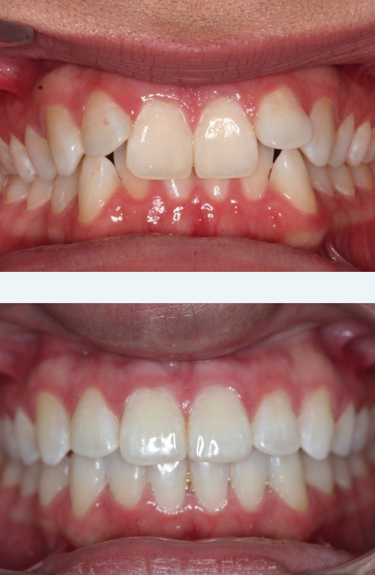
BEFORE & AFTERS

04

A NOTE FROM DR. LAIDLAW ABOUT BEFORE AND AFTER SCHOOL APPOINTMENTS:

05

Almost all of our patients either work or attend school. It is not possible for every appointment that you or your child has during treatment to be before or after school. We would anticipate that they will need to miss school for at least half of their ortho appointments.

Since most ortho visits occur at 6-8 week intervals, this will not significantly set back their academic progress over the course of a school year. We do our best to accommodate everyone in an equal fashion, so we do not allow pre-scheduling of multiple visits at a time for popular appointment times as that is unfair to the larger patient base.

If your child breaks a bracket or has a wire problem during treatment, we always leave space available in our schedule to accommodate these emergency visits. These emergency visits will always be during school hours.

Thanks for your understanding during scheduling. Our office staff will always try their best.

HILLSBORO’S 5-STAR ORTHODONTIST!

Dr. Laidlaw and the whole team are just great! I myself and my son are patients and made great progress in our treatments. I will recommend this place to anyone without any hesitation. 6 out 5 stars!

- FRANK

Everything. Dr. Laidlaw and her staff are beyond excellent. They are so responsive and helpful to patients. Two kiddos in treatment and we can’t wait for them to reopen because my girls truly enjoy their visits 💜 thank you for all you do!

- KRISI

We have been very happy with our experience at Dr. Laidlaw's office. We love the friendly and caring staff. Both our kids had great experiences are we are thrilled with their results.

- SARA
Real Braces Patients
06

Smile Stories

At Laidlaw Orthodontics we offer unique financing and outstanding treatment options to meet your smile goals.

See More arrow
02

Braces Options

Laidlaw Orthodontics logo outline